Before and After

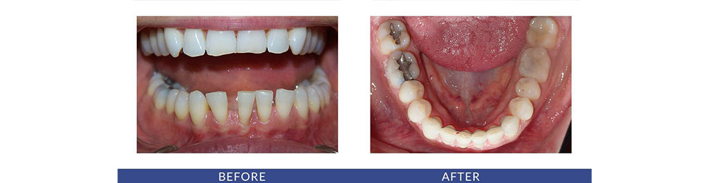
Incredible results and inspiring journeys; see some of our patients' before and after photos next time you visit our practice.

Impacted Upper Front Tooth Lower Adult Spacing Missing Laterals Eye Teeth Protruded in Adolescent Dentition Severe Overbite Underbite and OpenbiteOverbite with Headgear Correction Openbite Surgical Case Class III